SARA
FireFly Way Advertising for ClausWeb
data nasterii : 2016/02/06
SARA
genotype eeBB (Y)
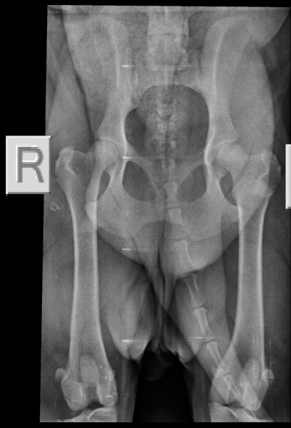
HD-A, ED-0/0
EIC clear by parentage
PRCD-PRA clear by parentage
HNPK: carrier
CNM clear
Romania Junior Champion
Results:
09.10.2016 CAC Turda, Puppy Class, VP1
22.04.2017 CACIB Satu Mare, Junior Class, Exc1, CacJ, Best Junior
23.04.2017 CACIB Satu Mare, Junior Class, Exc1, CacJ, Best Junior, Junior BIS 2
06.08.2017 CACIB Oradea, Junior Class, Exc1, CacJ, Best Junior
14.10.2017 Romania Retriever Club Turda, Intermmediate Class, Exc1
21.04.2018 CACIB Satu Mare, Open Class, Exc1
Pedigree:
Parinti |
Bunici |
Strabunici |
Stra-Strabunici |
CH BOSS SARRACENIA
genotype eeBB (Y)
HD-A, ED-0/0
Prcd-PRA clear |
CH Devonshires London Edition
genotype eeBB (Y) HD-B, ED-0/0 |
Devonshire Limited Edition
genotype eeBB (Y)
OFA Hips Good |
Timberland Woodsman At Lor-AI
genotype eeBB (Y)
OFA Hips Good |
CH Devonshire Abbey Lane
genotype eeBB (Y)
OFA Hips Good |
|||
CH Devonshire Darjeeling
genotype eeBB (Y)
OFA Hips Excellent |
CH Lobuff Bobwhite At Chucklebrook
genotype eeBB (Y)
OFA Hips Good |
||
Devonshires Jasmine
genotype eeBB (Y)
OFA Hips Good |
|||
CH Annie Sarracenia Majestic Chameleon
genotype eeBB (Y) HD-A, ED-0/0 |
Buttonwood Mcintosh
genotype eeBB (Y)
OFA Hips Good |
CH Beechcroft's Study in Black
genotype EeBB (By)
OFA Hips Good |
|
CH Buttonwood Fox Hill Ivy
genotype eeBB (Y)
OFA Hips Fair |
|||
Wenie Malmesbury Sable Blues
genotype eeBB (Y) HD-A, ED-0/0 |
CH Tapeatom Choir Master
genotype eeBB (Y) HD-A, ED-0/0 |
||
CH Domenika Sable Blues
genotype eeBB (Y) HD-A, ED-0/0 |
|||
CH Kosa Nostro Mafioso
genotype eeBB (Y)
HD-B, ED-0/0
Prcd-PRA clear |
CH Arthus Sarracenia Majestic Chameleon
genotype eeBB (Y) HD-A, ED-0/0 |
Buttonwood Mcintosh
genotype eeBB (Y)
OFA Hips Good |
CH Beechcroft's Study in Black
genotype EeBB (By)
OFA Hips Good |
CH Buttonwood Fox Hill Ivy
genotype eeBB (Y)
OFA Hips Fair |
|||
Wenie Malmesbury Sable Blues
genotype eeBB (Y) HD-A, ED-0/0 |
CH Tapeatom Choir Master
genotype eeBB (Y) HD-A, ED-0/0 |
||
CH Domenika Sable Blues
genotype eeBB (Y) HD-A, ED-0/0 |
|||
CH Kosa Nostro Io Sono Leggenda
genotype eeBB (Y) HD-A, ED-0/0 |
CH Follies Mason
genotype EeBB (By) HD-A, ED-0/0 |
CH Lubberline Martingale
genotype eeBB (Y)
OFA Hips Good |
|
Tweedledum Folies Bergerer
genotype EeBB (By) HD-A, ED-0/0 |
|||
CH Cameswon Dancing Queen
genotype eeBB (Y) HD-A, ED-0/0 |
Waifin's Perfect Storm
genotype EeBB (By)
OFA Hips Good |
||
CH Stenveyz Lemon Tea
genotype eeBB (Y) HD-A, ED-0/0 |







